Diagnosis and Management of Cardiac Sarcoidosis
Published: April 18, 2024

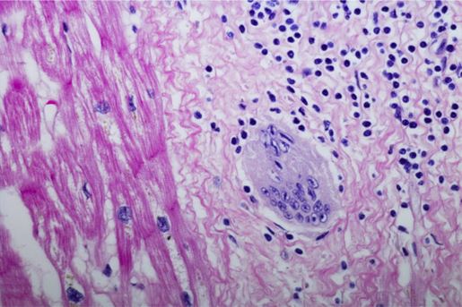
- Cardiac sarcoidosis is an infiltrative cardiomyopathy resulting from granulomatous inflammation of the myocardium.
- Diagnosis of cardiac sarcoidosis is challenging due to diverse and nonspecific presentations, and definitive histologic confirmation is often not possible.
- This statement provides a comprehensive overview of the diagnosis, treatment options, and outcomes of cardiac sarcoidosis, emphasizing the importance of a multidisciplinary approach.
Supporting Materials
- Commentary: A Timely Addition: Cardiac Sarcoidosis Guidance by Jan M. Griffin, MD
- Top Things to Know: Diagnosis and Management of Cardiac Sarcoidosis
Recommended Reading
- 2022 Guideline for the Management of Heart Failure
- 2018 Guideline on the Evaluation and Management of Patients With Bradycardia and Cardiac Conduction Delay
- 2017 Guideline for Management of Patients With Ventricular Arrhythmias and the Prevention of Sudden Cardiac Death
- State-of-the-Art Imaging of Infiltrative Cardiomyopathies
- Cardiac Amyloidosis: Evolving Diagnosis and Management
- Recognition and Initial Management of Fulminant Myocarditis
- Management of Acute Coronary Syndrome in the Older Adult Population
- Contemporary Management of Cardiogenic Shock